新闻中心 /News
肺癌提前一年就有征兆?医生提醒:身体这3处变化别忽视
。早在确诊前的半年到一年,身体就可能发出信号。只是这些信号太隐蔽、太“不像大事”,总被我们忽略、误解、耽搁。

门诊里,一个不到50岁的男性,非吸烟者,也没家B-sport B体育官方网站族史。他来的时候,说是“感冒拖了几个月,老咳嗽,声音也哑”。一查,肺癌,累及喉返神经。
这不是个例。肺尖部的肿瘤一旦压迫或侵袭喉返神经,就会导致声音嘶哑。不是那种喊两嗓子就好的沙哑,而是说话像卡了气,低哑、无力,持续数周。

很多人把它当咽炎、感冒后遗症,含片吃了一堆,咳嗽止住了,声音还是怪怪的。你得知道,肺癌最早侵犯的,往往是邻近组织,而不是你感觉到的“肺”。
声音变了,咳嗽持续,尤其是无痰、干咳、有点气短的那种咳,时间超过3周,不要拖,低剂量螺旋CT查一下胸部,有必要时加喉镜。

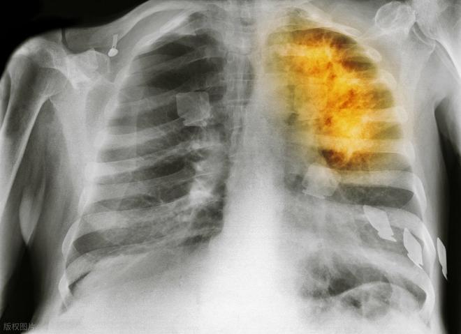
很多人以为肺癌最多就是咳嗽、胸闷。但临床上,肺癌相关的“假肩周炎”越来越常见。
有位65岁的阿姨,右肩疼得抬不起来,按摩、理疗、贴膏药,折腾了半年。最后实在拖不下去,做了个CT,右肺上叶有个隐匿的肿块,已经侵犯臂丛神经。
医学上叫潘可斯特瘤,就是长在肺尖部的癌,它最爱“伪装”成肩周炎。疼痛不是关节的问题,而是神经受压或炎性反应引起的牵涉痛。
这类疼痛有几个特点:单侧、持续、夜间加重、止痛药效果差。有时会伴随手臂B体育官网 B体育网址麻、手指发凉、流汗异常。

如果你或者你家里人,肩膀莫名其妙疼了几个月,理疗没效,越来越严重,尤其是年纪在50岁以上,有吸烟史或家族史,一定要考虑肿瘤的可能性。
千万别把“肩膀疼”当成岁月的痕迹,有时候,是身体在抗议你忽视了它的哀求。
有种现象叫杵状指,也叫“鼓槌指”。指甲前端变得圆鼓鼓,像鼓锤,指甲床变弯、失去原本的弧度,摸上去有点柔软。

这是为什么?因为肺部长期缺氧,导致末梢毛细血管增生、扩张,形成了这种奇特的指甲形态。它不是某种病,但它是某些病的“信使”。
包括肺癌、肺纤维化、慢阻肺等造成慢性缺氧的疾病,都可能出现杵状指。尤其是肺腺癌和鳞癌早期,有些人连咳嗽都没有,唯一的表现,就是“手指长得怪了”。
你仔细看看自己的指甲,或者你爸妈、你爱人、你朋友的指甲——如果指甲前端突然变鼓,角度变钝,不是最近磕碰造成的,那就该引起注意了。
临床研究表明,约12%的肺癌患者在确诊前半年内出现杵状指改变。它不疼,也不影响生活,但它可能是你身体里,最早的警报器。

这三处——声音、肩膀、指甲,听起来都不像肺,但它们,确实是肺癌最早的蛛丝马迹。
· 症状持续超过3周,且无明显改善· 用常规方法(药物、理疗)无效· 伴随体重下降、乏力、夜间加重等表现· 年龄超过45岁,有吸烟或二手烟暴露史· 家族中有肺癌或其他肿瘤病史

低剂量螺旋CT,是目前国际公认肺癌早筛的有效手段。特别适用于高危人群:长期吸烟、空气污染接触者、慢性肺部疾病患者、有肿瘤家族史者。
2022年《中华肿瘤杂志》一项研究指出,通过年度LDCT筛查,肺癌早期检出率可提高至68%以上,患者5年生存率从不足20%提升至60%以上。

肺癌不是无声的杀手,它只是话说得比较隐晦。如果你愿意听,它其实早就提醒过你很多次。
我们都在忙,忙工作、忙孩子、忙生活。但别忘了,你身体发出的每一个细微的求救信号,都是它“想活B体育官网 B体育网址”的表现。
愿你永远用不上今天这篇文章,但如果哪天你突然想起——声音不对了、肩膀疼了、指甲变了,记得,有医生曾经在这儿,提醒过你。

参考文献:[1]张晓军.低剂量螺旋CT在肺癌早期筛查中的应用价值[J].中华肿瘤杂志,2022,44(5):421-427.[2]李明,王志强.潘可斯特瘤的早期临床表现及诊断误区分析[J].中国肺癌杂志,2021,24(3):198-203.[3]陈伟.杵状指的临床意义及其在肺部疾病中的提示作用[J].实用医学杂志,2020,36(12):1654-1657.声明: 本文内容基于权威医学资料及临床常识,同时结合作者个人理解与观点撰写,部分情节为虚构或情境模拟,旨在帮B-sport B体育官方网站助读者更好理解相关健康科普知识。文中内容仅供参考,不能替代专业医疗诊断与治疗,如有身体不适,请及时就医。
2025-12-12 00:16:49
浏览次数:
次
返回列表